암진단 사례

아산유외과
암진단 사례입니다.

내용보기
아산유외과개원후 952번째 유방암진단
작성자 관리*** 등록일 2025-08-08 16:12:31 조회수 111
첨부파일 첨부파일 없음

 

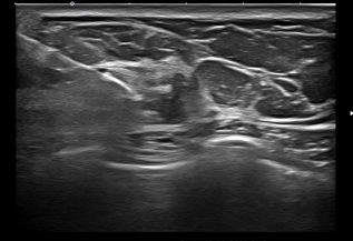
상기환자 외부병원 유방의 이상소견으로 정밀검사위해 내원하신 50대 여성분으로 

 

우측유방 혹 총조직검사 시행해 유방암 진단되었습니다

 

0개의 코멘트가 있습니다.