암진단 사례

아산유외과
암진단 사례입니다.

내용보기
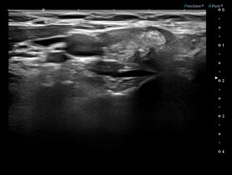
아산유외과개원후 148번째 갑상선암진단
작성자 관리*** 등록일 2025-11-11 12:55:24 조회수 39
첨부파일 첨부파일 없음

 

 

상기환자 우측 목에 만져지는 멍울 있어 내원하신 40대 여성분으로

의심스러운 갑상선 우엽 세침검사 결과 갑상선암으로 진단되었습니다.

0개의 코멘트가 있습니다.