암진단 사례

아산유외과
암진단 사례입니다.

내용보기
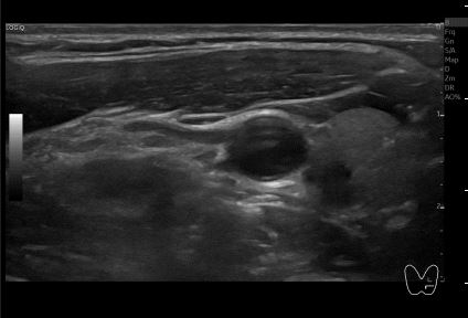
아산유외과개원후 149번째 갑상선암진단
작성자 관리*** 등록일 2025-12-03 12:54:55 조회수 26
첨부파일 첨부파일 없음

 

상기환자 외부검사상 이상 소견으로 내원하신 30대 여성분으로

의심스러운 갑상선 좌엽 세침검사 결과 갑상선암으로 진단되었습니다.

 

0개의 코멘트가 있습니다.